ホワイトデンタルクリニックの
審美歯科治療の特徴
あなたの理想をお聞かせください。
必ず理想の色・形を想像します。
当院では患者様に満足して頂くための「体制」が整っています。
本章では、「TPSシステム」「最先端3Dセレックシステム」「院内技工士」を具体的にご紹介していきます。
審美歯科治療とは「美」にかかわる治療になりますので、非常に繊細な治療になります。
患者様にとって一番残念なことは「せっかく治療したのにイメージと違う」ということです。そうならないために、当院では、治療を行う前に患者様の「理想」をお伺いした上で、模型にて完成形をお見せしています。この工程を踏むことで「自分の歯がどのように変わるのか」「望みどおりに本当にキレイになるのか」を事前に把握できますし、何よりも、治療後のイメージを患者様そしてドクターがしっかり把握した上で治療を進められますので「ズレ」をなくすことが可能になります。


また「患者様のイメージ」に可能な限り近づける工程は最初だけではなく、治療終了間際でも実施します。「プロビジョナルレストレーション」という工程になります。
「プロビジョナルレストレーション」とは、「仮歯」を口の中に入れ、噛み合わせは正しいか、歯の形・色は適切かなどをシミュレーションし、患者様に最終チェックをして頂く工程の事です。

この工程は時間と手間がかかるため、実施していない医院が多いのが現状です。
当院は、患者様に「心から」満足して頂くため、一切の妥協はいたしません。
そのため、患者様にも一切遠慮はして頂きたくありません。
心から満足するまで、何度でも私たちに違和感がある部分をお伝えください。
これらはすべて、最高の美を追求し、かつ、末永く治療した歯を使って頂くための当院の譲れないこだわりです。

セレックシステムとは、審美歯科治療(差し歯治療)で使われるセラミックインレー(セラミックの詰め物)、 セラミッククラウン(セラミックの被せ物)を短期間で、かつ、高精度に作製できるシステムです。
当院では「InLab MC X5」という機器を導入しています。
これは世界をリードする歯科医療機器専門メーカー「シロナ」により製造されたもので、現在製造されているセレックシステムの中でも最新モデルになります。
変色
精度
「InLab MC X5」を使用することで半永久的に変色しない被せ物等が短時間作成可能になります。
また、従来の方法では被せ物の制作には多くのステップを踏むため、どうしても徐々に「ズレ」が生じてしまい、最終的に患者様のお口に合わないものが出来上がってしまうこともありましたが、InLab MC X5は高精度の被せ物を非常にシンプルな工程で制作できるため、「ズレ」が生じにくく、お口に合わないということはほとんどありません。
また、一般的なセレックシステムでは対応が不可能だった難しい症例にも対応できるようになり、より一層、患者様のニーズにこたえられるようになりました。

当院には院内に歯科技工室が設置されています。
ここでは専任の経験豊富な歯科技工士が詰め物・被せ物等を作製します。
歯科技工士とは、歯科医師と連携して入れ歯や詰め物・被せ物を作る職人です。
通常は歯科医院とは別の場所で仕事をしているのですが、いつでも意見の交換、勉強、情報共有ができる環境がベストだと考え、当院では院内に歯科技工室を設けています。
院内に歯科技工室を設ける事のメリットは下記の通りです。
一般的に詰め物・被せ物等は歯科医院と別の場所にある歯科技工所というところで作製します。そのため、治療開始から治療終了までどうしても時間がかかってしまいます。
当院には「院内」に技工室があるため、これまでのような「時間的ロス」がなくなりました。
ちょっとした調整も院内にいる専門の歯科技工士が対応します。
専任の歯科技工士が院内に常駐しているため、「ドクターとの密なやりとり」が可能になっています。詰め物・被せ物等は、歯科医師の指示に従い、歯科技工士が作製します。
そのため、密な連携が非常に大切になります。
一般的には歯科医院と歯科技工所は離れた場所にあることが多いので、電話などを通しての連携となり、「密なコミュニケーション」はなかなか難しいものがあります。
当院ではいつでも話し合いの場が持てる環境にありますので、自ずと詰め物・被せ物のクオリティ(審美性・耐久性)が向上します。
被せ物等を作製する場合、「色合い」「形」などに対する「患者様の意向」が非常に大切になります。
何度も調整し患者様のイメージに近づけていくのですが、一般的にはドクターが患者様の意向をお聞きし、それを歯科技工士に伝え作製していきます。
この場合伝言ゲームと同じで間に人が入れば入るほど「真意」と異なった情報が伝わってしまう事があります。
そのため一番の理想は、実際に被せ物等を作製する歯科技工士が自分の目で確認し、患者様の意向を伺う事です。当院ではそのような環境が整っています。

白い詰め物・被せ物は、様々な種類があります。
それぞれ、白さの度合い、耐久性、身体への優しさ、そしてもちろん費用が異なります。
当院では患者様のご意向を聞いて、最適な素材をご提案する他、歯、そして身体に優しい素材を厳選してご提案しています。当院でご紹介している素材の一部をご紹介します。

ジルコニアは、「人工ダイヤモンド」とも呼ばれ、セラミックのなかでも一番優れた審美性・耐久性を誇ります。また、身体に優しい素材(陶器)ですので、保険適用の銀歯のように金属イオンが体内に流出する危険性がありません。そして高い耐久性を併せ持ちますので、食いしばりの強い方にもお勧めです。
芸能人の多くがこのジルコニアを利用しています。

オールセラミックは天然歯のような色合い、そして強度を持ちます。金属を一切使用していないので、体に非常に優しい素材です。ジルコニアと比べ耐久度は若干落ちます。

ゴールドは金属の1種ですが、銀歯と異なり、非常に体に優しい素材となります。他の素材と比べ最も歯との適合が良く、2次カリエス(虫歯による再治療)になりにくいのが特徴です。また、貴金属の割合が高い金属を使いますので、金属の溶け出しによる歯茎の変色、金属アレルギーなどが起こる可能性が低くなります。

身体に優しい白いプラスチック素材を利用します。主に「詰め物」で利用します。もちろん金属を利用していませんので金属アレルギーの心配もありません。他の「詰め物」と異なりゲル状の素材となりますので、自由に形を作ることができ、かつ、歯を削る量も最小限に抑えることが出来ます。来院回数も1回で済みます。
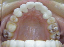
それぞれ当院で治療した症例をご紹介します。








当院では、患者様が抱えていらっしゃるお口のお悩みや疑問・不安などにお応えする機会を設けております。どんな事でも構いませんので、私達にお話しして頂けたらと思います。 ご興味がある方は下記からお問い合わせください。
